"Vivo en Belgrano y consulte en varias clinicas del barrio. Cuando conoci el Consultorio de Alineadores me convencio que solo hicieran eso. El viaje en subte son 10 minutos y la diferencia en atencion se nota desde el primer dia."
Alineadores invisibles para pacientes de Belgrano
Si vivis o trabajas en Belgrano y estas buscando un tratamiento con alineadores invisibles, nuestro consultorio especializado esta a pocos minutos de tu barrio. Estamos en Av. Scalabrini Ortiz 3183, Palermo, conectados directamente con Belgrano por subte linea D.
Respondemos en menos de 1 hora
¿Por que pacientes de Belgrano nos eligen?
Especializacion real
4 ortodoncistas que solo hacen alineadores, no un dentista generalista que "tambien" los ofrece.
Cercania
A pocas estaciones de subte desde Belgrano, o 10 minutos en auto/colectivo por Cabildo.
Tecnologia de punta
Diagnostico con escaneo 3D y planificacion digital con KeepSmiling.
Flexibilidad
Horarios amplios de lunes a viernes y planes de pago sin estres.
Tu tratamiento en 4 pasos
Un proceso claro, personalizado y con acompanamiento profesional en cada etapa.
Evaluacion inicial
Venis al consultorio para un diagnostico completo con escaneo digital 3D. Te vas con plan de tratamiento y presupuesto.
Diseno personalizado
Nuestras ortodoncistas disenan tu tratamiento a medida. Ves una simulacion del resultado final.
Arrancas con los alineadores
Te entregamos tus alineadores KeepSmiling y te explicamos todo.
Sonrisa nueva
Controles regulares y seguimiento hasta lograr el resultado planificado.
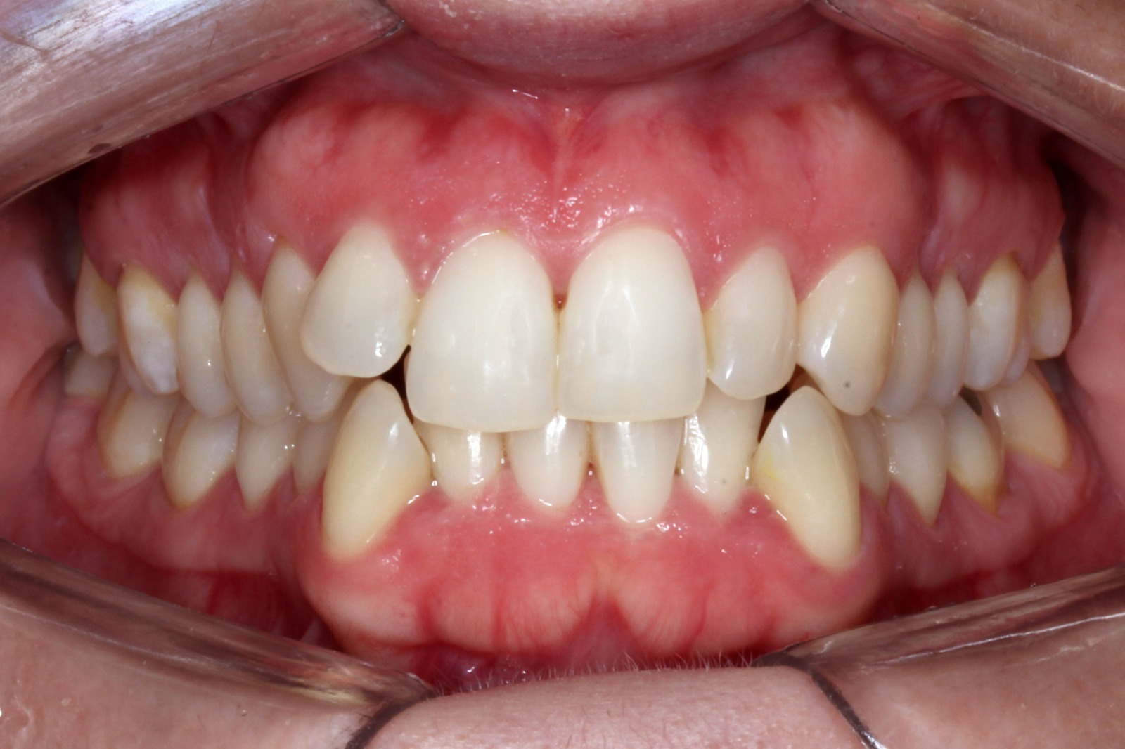
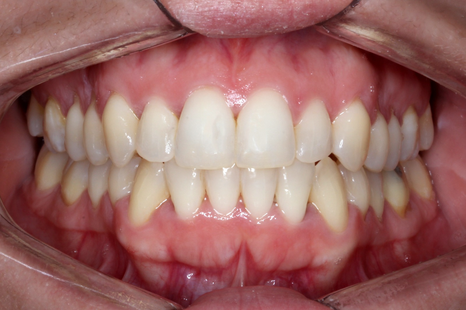
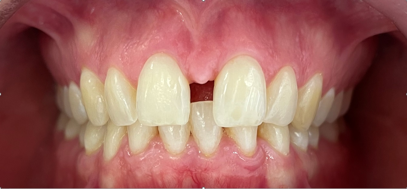
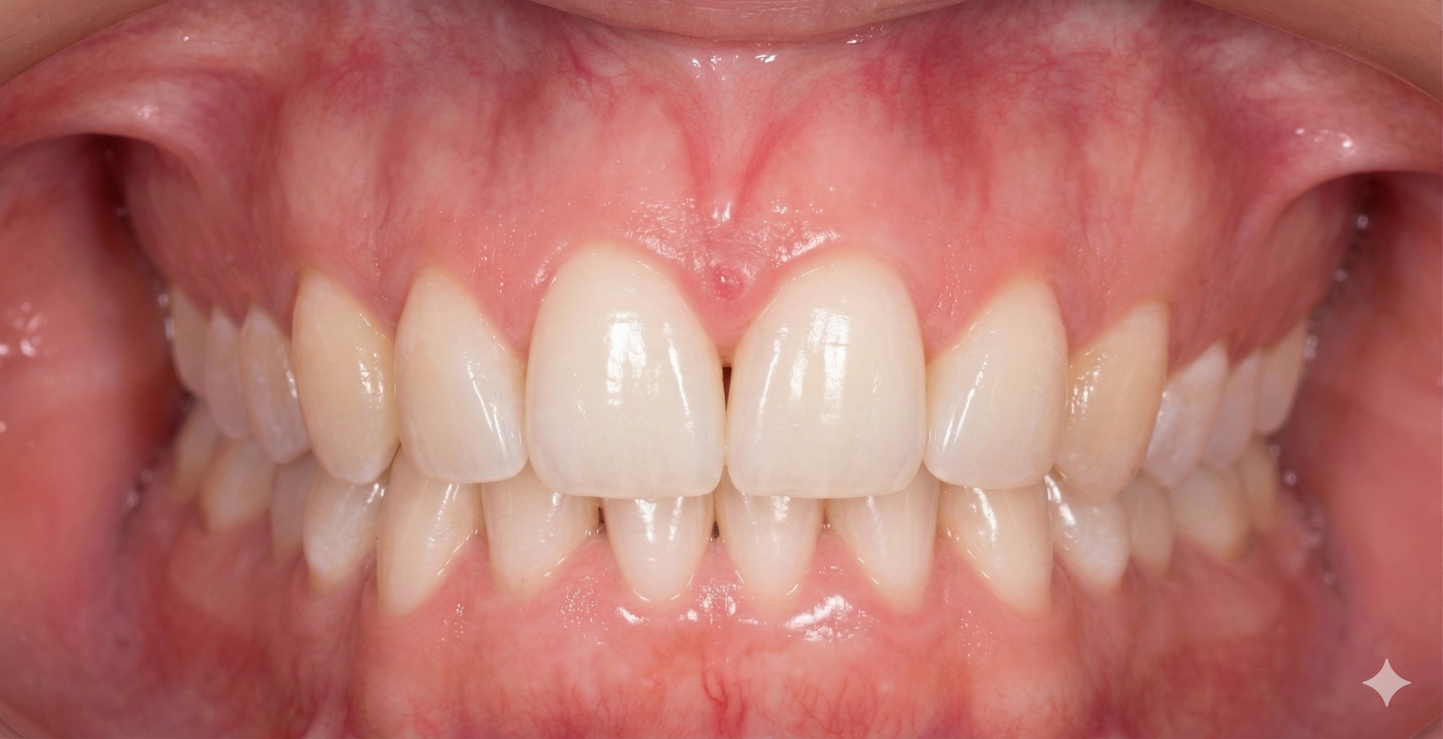
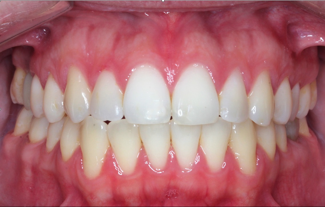
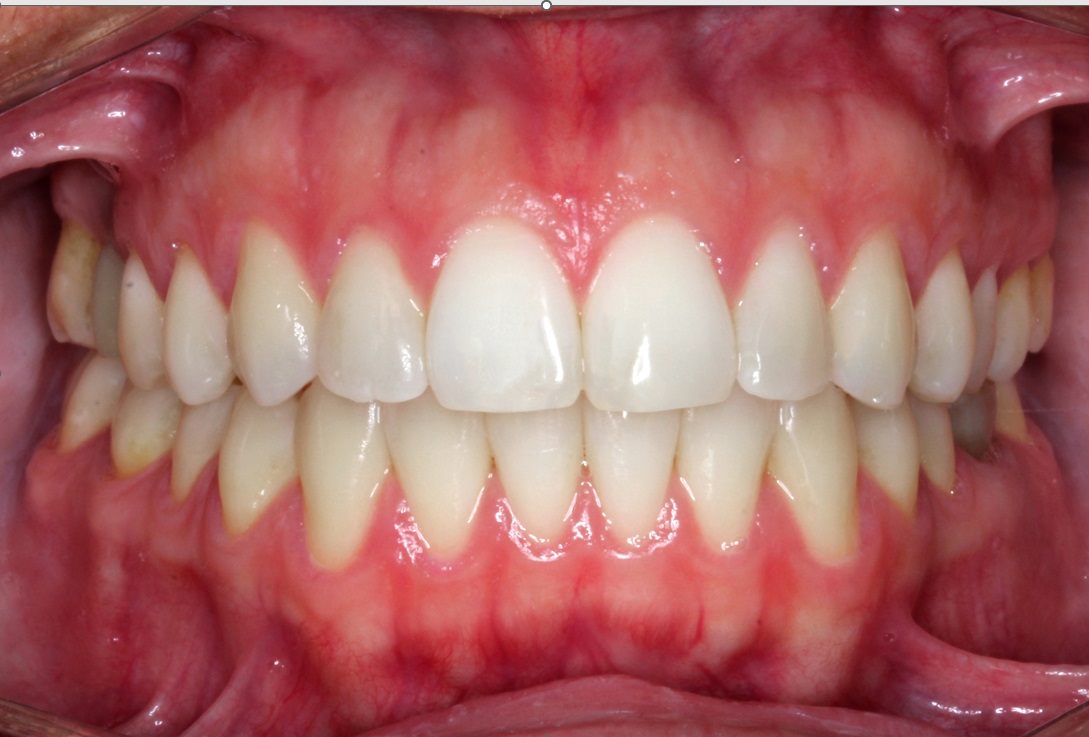
Resultados reales
Cada sonrisa es unica. Mira lo que lograron nuestros pacientes.






Cada caso es unico. Los resultados dependen de la complejidad del tratamiento.
Lo que dicen pacientes de Belgrano
Como llegar desde Belgrano
Consultorio de Alineadores
Av. Scalabrini Ortiz 3183, Palermo, CABA
Desde Juramento o Congreso de Tucuman → bajar en Scalabrini Ortiz (3-4 estaciones, ~8 min)
Lineas 15, 29, 42, 60, 152 por Cabildo → combinacion a Scalabrini Ortiz
10-12 minutos por Av. Cabildo → Luis Maria Campos → Scalabrini Ortiz
15 minutos por la ciclovia de Luis Maria Campos
Horarios de atencion
Tu mejor sonrisa te espera a minutos de Belgrano
Reserva tu evaluacion inicial con diagnostico 3D
Respondemos en menos de 1 hora · Lunes a Viernes